病史简介
患者史某,33岁。
主诉:
药物流产失败清宫2次后发现宫腔异常回声3天。
现病史:
患者平素月经规律,周期30天,经期7天,经量中等,轻微痛经,可耐受,LMP:2023-09-13。2023-10-21因停经38天诊断“早孕”于外院行“药物性流产”,米非司酮50mg、25mg早晚交替服用2天,第3天顿服0.6mg米索前列醇,服药后阴道流血1天自止未见孕囊排出。药流后7天复查B超提示孕囊位于宫腔上段,未见明显胎芽,遂在该家医院行无痛清宫术。术后阴道流血2天自止。清宫后7天因稍有腹坠感又去另外一家医院复查B超,提示宫腔上段1.7cm*0.9cm*2.0cm液性暗区,给予缩宫素10u肌注3天,再复查B超宫内不均质回声,范围21mm*11mm,给予第二次清宫术。术后阴道流血2天干净,无明显腹痛及恶心呕吐及发热症状。二次清宫后半月复查仍有宫腔内宫底部偏强回声27mm*11mm,右侧卵巢囊性回声71mm*30mm,B-hcg:26.2mIU/ML,无腹痛及阴道流血症状。为进一步诊疗于2023-11-25日来我院门诊就诊,行子宫三维超声检查显示子宫右角部高回声团、右附件区囊性包块,门诊以“胚物残留”收入院。患者自发病以来,饮食睡眠良好,大小便正常,体重无明显变化。
既往史:
既往身体良好,无特殊疾病史,2019年因“双胎妊娠”行“子宫下段剖宫产术”;2022年足月妊娠行二次“子宫下段剖宫产术”。无外伤史,无传染病史,无输血史,药物过敏史,无食物过敏史,预防接种随当地。
个人史:
生于原籍,无外地久居史,无不良嗜好。
月经婚育史:
平素月经规律,14-7/30-2023.09.13,月经量中等,无血块,有痛经,23岁结婚,G4P2L3A2,双胎剖宫产一次,单胎足月剖一次,育有3女,配偶及女儿均体健。
专科检查:
外阴发育正常,阴道畅,内见少量分泌物,宫颈糜烂样改变,子宫前位,正常大小,质中,无压痛,右侧附件区增厚,无压痛,左侧附件未触及明显异常。
辅助检查:
2023-11-22 血HCG:26.20mIU/mL
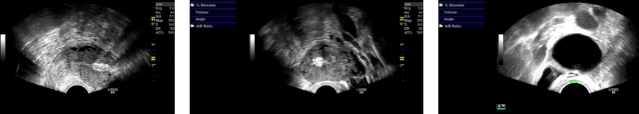
2023-11-22 子宫三维超声:子宫右角部见15mm*9mm高回声团,CDFI:可见星点状血流信号。内膜厚度3mm,清晰居中。子宫右侧旁见65mm*36mm无回声,内见多条分隔,CDFI:未见明显血流信号。周边似见少许卵巢组织回声。子宫三维成像:宫腔偏右侧角部可见一高回声团,右侧几近达浆膜层。提示:子宫右角部高回声团、右附件区囊性包块。


入院诊断:
1.胚物残留
2.卵巢囊肿
3.瘢痕子宫
临床处理:
入院后完善复辅助检查,于2023-11-26日拟行宫腔镜检查+TCRF。宫腔镜检查中发现宫腔右半宫腔封闭,检查镜钝性分离封闭宫腔过程中发现宫底近右侧角部陈旧性穿孔,有肠管嵌顿入宫腔内与子宫后壁致密粘连。
术中诊断:
1.陈旧性子宫穿孔
2.肠嵌顿宫腔并粘连
3.瘢痕子宫
4.遂行宫腹腔镜联合回纳嵌顿肠管及子宫修补手术
手术名称:
肠嵌顿宫腔并粘连宫腹腔镜联合手术。
术后诊断:
1.肠嵌顿(子宫腔内)
2.宫腔粘连
3.陈旧性子宫穿孔
4.卵巢非赘生性囊肿
5.瘢痕子宫
术者简介
杨贵霞
主任医师,德州市妇女儿童医院妇科主任
专业特长:
从事妇产科临床工作30年。专注妇科微创诊疗技术的临床应用,包括自体组织盆底重建手术;腹腔镜下早期内膜癌分期术、宫颈癌根治术、腹腔镜困难子宫切除术、与不孕症相关的宫腔粘连、子宫畸形、输卵管修复整形的微创诊疗;宫内疾病的宫腔镜诊疗。
✦ 山东省妇女儿童工作先进个人
✦ 山东省首届优秀医师
社会兼职:
✦ 中国妇幼保健协会妇幼微创专业委员会妇科阴式手术学组委员
✦ 山东省妇幼保健协会妇科微创专业委员会副主任委员
✦ 山东省医学会妇产科专业委员会委员
✦ 山东省医师协会妇产科分会子宫内膜异位症与慢性盆腔痛分会副组长
✦ 山东省医师协会宫腔镜分会基层协作组副组长
✦ 山东省公共卫生学会全省更年期综合管理培训基地副主任
✦ 德州市医学会计划生育专业委员会主任委员、生殖外科学组组长
✦ 德州市妇幼保健协会妇科内分泌专业委员会主任委员
责编:liu
